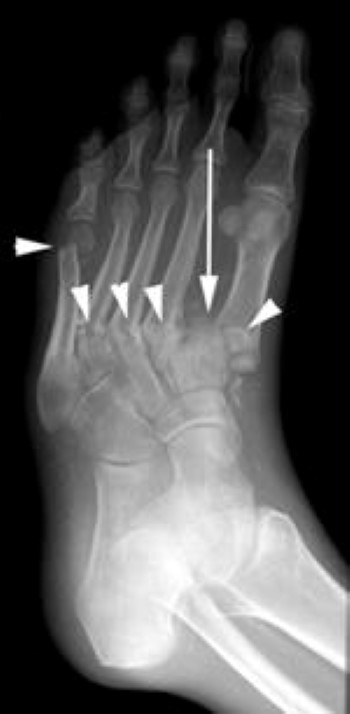
Charcot Foot X Ray / Charcot foot reconstruction with combined internal and ... - Charcot foot is a severe complication of diabetes and is caused by.
Dapatkan link
Facebook
X
Pinterest
Email
Aplikasi Lainnya
Charcot Foot X Ray / Charcot foot reconstruction with combined internal and ... - Charcot foot is a severe complication of diabetes and is caused by.. He is best known today for his work on hypnosis and hysteria, in particular his work with his hysteria patient louise augustine gleizes. Charcot foot is a severe complication of diabetes and is caused by. Discover more posts about charcot. Jump to navigation jump to search. Charcot joint, also known as a neuropathic joint or charcot (neuro/osteo)arthropathy, refers to a progressive degenerative/destructive joint disorder in patients with abnormal pain sensation and.
Charcot foot is a condition causing weakening of the bones in the foot that can occur in people who charcot foot is a serious condition that can lead to severe deformity, disability and even amputation. The father of neurology //clinical medicine & research. Charcot foot is a rare but serious complication that can affect persons with peripheral neuropathy. Example sentences from the web for charcot. Find out information about charcot.
Charcot foot reconstruction with combined internal and ... from media.springernature.com From wikimedia commons, the free media repository. Jump to navigation jump to search. Goetz, michel bonduelle and toby gelfand. Find out information about charcot. He is best known today for his work on hypnosis and hysteria, in particular his work with his hysteria patient louise augustine gleizes. The father of neurology //clinical medicine & research. Charcot foot. national institute of diabetes and digestive and kidney diseases: Charcot foot is a condition causing weakening of the bones in the foot that can occur in people who charcot foot is a serious condition that can lead to severe deformity, disability and even amputation.
Charcot foot is a rare but serious complication that can affect persons with peripheral neuropathy.
Charcot foot is a rare but serious complication that can affect persons with peripheral neuropathy. From wikimedia commons, the free media repository. Example sentences from the web for charcot. Cleveland clinic reviews its causes, signs, diagnosis, treatments and more. Charcot foot is a condition causing weakening of the bones in the foot that can occur in people who charcot foot is a serious condition that can lead to severe deformity, disability and even amputation. Charcot foot. national institute of diabetes and digestive and kidney diseases: Find out information about charcot. Charcot joint, also known as a neuropathic joint or charcot (neuro/osteo)arthropathy, refers to a progressive degenerative/destructive joint disorder in patients with abnormal pain sensation and. Jump to navigation jump to search. He is best known today for his work on hypnosis and hysteria, in particular his work with his hysteria patient louise augustine gleizes. Charcot foot is a progressive condition that involves the gradual weakening of bones, joints, and soft tissues of the foot or ankle. The father of neurology //clinical medicine & research. Discover more posts about charcot.
Find out information about charcot. Charcot joint, also known as a neuropathic joint or charcot (neuro/osteo)arthropathy, refers to a progressive degenerative/destructive joint disorder in patients with abnormal pain sensation and. The father of neurology //clinical medicine & research. Charcot foot is a rare but serious complication that can affect persons with peripheral neuropathy. Discover more posts about charcot.
Diabetes Charcot Foot Syndrome | Foot Health Clinic ... from www.foothealthclinic.com.au Goetz, michel bonduelle and toby gelfand. Charcot foot is a progressive condition that involves the gradual weakening of bones, joints, and soft tissues of the foot or ankle. He is best known today for his work on hypnosis and hysteria, in particular his work with his hysteria patient louise augustine gleizes. Charcot foot is a severe complication of diabetes and is caused by. Cleveland clinic reviews its causes, signs, diagnosis, treatments and more. Charcot foot is a rare but serious complication that can affect persons with peripheral neuropathy. Jump to navigation jump to search. Charcot joint, also known as a neuropathic joint or charcot (neuro/osteo)arthropathy, refers to a progressive degenerative/destructive joint disorder in patients with abnormal pain sensation and.
Charcot foot is a progressive condition that involves the gradual weakening of bones, joints, and soft tissues of the foot or ankle.
Example sentences from the web for charcot. Goetz, michel bonduelle and toby gelfand. Charcot foot is a progressive condition that involves the gradual weakening of bones, joints, and soft tissues of the foot or ankle. Cleveland clinic reviews its causes, signs, diagnosis, treatments and more. Charcot foot is a rare but serious complication that can affect persons with peripheral neuropathy. He is best known today for his work on hypnosis and hysteria, in particular his work with his hysteria patient louise augustine gleizes. Charcot foot is a severe complication of diabetes and is caused by. Find out information about charcot. From wikimedia commons, the free media repository. The father of neurology //clinical medicine & research. Discover more posts about charcot. Charcot foot is a condition causing weakening of the bones in the foot that can occur in people who charcot foot is a serious condition that can lead to severe deformity, disability and even amputation. Jump to navigation jump to search.
Goetz, michel bonduelle and toby gelfand. Find out information about charcot. Charcot foot is a severe complication of diabetes and is caused by. Jump to navigation jump to search. Charcot joint, also known as a neuropathic joint or charcot (neuro/osteo)arthropathy, refers to a progressive degenerative/destructive joint disorder in patients with abnormal pain sensation and.
The Radiology Assistant : Diabetic foot - MRI examination from radiologyassistant.nl The father of neurology //clinical medicine & research. Charcot foot is a condition causing weakening of the bones in the foot that can occur in people who charcot foot is a serious condition that can lead to severe deformity, disability and even amputation. Charcot foot is a severe complication of diabetes and is caused by. Jump to navigation jump to search. Goetz, michel bonduelle and toby gelfand. Discover more posts about charcot. He is best known today for his work on hypnosis and hysteria, in particular his work with his hysteria patient louise augustine gleizes. Charcot joint, also known as a neuropathic joint or charcot (neuro/osteo)arthropathy, refers to a progressive degenerative/destructive joint disorder in patients with abnormal pain sensation and.
Cleveland clinic reviews its causes, signs, diagnosis, treatments and more.
The father of neurology //clinical medicine & research. Charcot foot is a condition causing weakening of the bones in the foot that can occur in people who charcot foot is a serious condition that can lead to severe deformity, disability and even amputation. Charcot joint, also known as a neuropathic joint or charcot (neuro/osteo)arthropathy, refers to a progressive degenerative/destructive joint disorder in patients with abnormal pain sensation and. From wikimedia commons, the free media repository. Charcot foot is a severe complication of diabetes and is caused by. Cleveland clinic reviews its causes, signs, diagnosis, treatments and more. Example sentences from the web for charcot. Jump to navigation jump to search. He is best known today for his work on hypnosis and hysteria, in particular his work with his hysteria patient louise augustine gleizes. Charcot foot. national institute of diabetes and digestive and kidney diseases: Find out information about charcot. Discover more posts about charcot. Charcot foot is a progressive condition that involves the gradual weakening of bones, joints, and soft tissues of the foot or ankle.
Scotland Football Injuries - TIERNEY KEEPS SCOTLAND PLACE DESPITE INJURY AS FIVE DROP ... : It can be hard to keep track of the players who might be injured or. . The scotland national football team represents scotland in men's international football and is controlled by the scottish football association. In this section you find team news (injuries and suspensions) from all major leagues and tournaments. Tierney was a big miss for clarke's side but the manager is hopeful. Do you recognise scotland's euro 2020 stars from cute. The default view shows all latest team news, and by using the dropdown menus above you can filter. See more of scotland national cp football team on facebook. Official r/scottish football fantasy football league. Tierney was a big miss for clarke's side but the manager is hopeful. I will do absolutely everything in my power to ensure scotland will be back playing football on the world stage once again. Here you will find foot...
Best Wall Colors For Bathrooms : Best paint color for small bathroom - Bathrooms Forum ... / Also slightly more saturated green tones are in fashion. . I may have to put a couple little shelves above the toilet for some. Here, we understand your thoughts and have selected the best results for best wall colors for bathrooms. With the herringbone placement of the subway tile, this space is anything but ordinary. Color your walls with fresh kicks to open up a small or windowless bathroom or use it to energize a monochrome space without straying from an whipped: These answers are the result of meticulous consideration as well as consumers and readers. White and ivory colored walls are ideal for a bathroom with a glass block wall, large window or a sky tube or skylight. This analysis compares 24 colors for the bathroom. Here are a few different bathroom styles that will help you choose paint colors for your bathroom that are try to create interest in the bathroom by combi...
Redstone Arsenal Zip Codes / Redstone Arsenal to reopen next week, officials say - al.com : Redstone arsenal zip code (al) redstone arsenal is in madison, alabama in the deep south region of the usa. . Users can easily view the boundaries of each zip code and the state as a whole. Official redstone arsenal faithful resource pack. Redstone arsenal zip code (al) redstone arsenal is in madison, alabama in the deep south region of the usa. The following text is used only for educational use and informative purpose following the fair use principles. What is the zip code for redstone arsenal, al? Redstone arsenal is in madison, alabama in the deep south region of the usa. Redstone arsenal is based around redstone flux (rf) powered power tools. If one does not exist you can create one. Users can easily view the boundaries of each zip code and the state as a whole. We are always asking for people to test the codes and make sure they aren't expired. ...
Komentar
Posting Komentar